

Introduction
Female infertility is one of the most common challenges faced by couples. The good news is that most conditions are treatable when diagnosed early.
Dr. Shailaja Pachundkar, a leading fertility expert in Wagholi, provides advanced and evidence-based treatments for female infertility.
Major Causes of Female Infertility
1. Ovulation Disorders
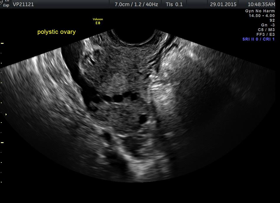
Conditions like PCOS prevent regular egg release.
2. Tubal Blockage
3. Endometriosis
Growth of uterine tissue outside the uterus can affect fertility.
4. Hormonal Imbalance
Thyroid disorders and prolactin issues can interfere with ovulation.
5. Age Factor
Fertility naturally declines after age 30–35.
Diagnosis
- Ultrasound scans
- Hormonal blood tests
- HSG (tube test)
- Ovulation tracking
Treatment Options
💊 Medical Treatment
- Ovulation induction medicines
- Hormonal correction
🧪 Advanced Treatments
- IUI (Intrauterine Insemination)
- IVF (Test Tube Baby)
- Laparoscopy for diagnosis and treatment
Why Early Treatment Matters
Delaying treatment can reduce success rates. Early intervention increases chances of natural conception or treatment success.
